spanish Spanishenglish English
Lakewood Orthodontics

Claremont Orthodontics and Lakewood Orthodontics

Claremont Orthodontics

Before and After Gallery

Happy family outside

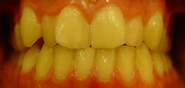
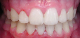
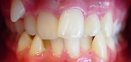
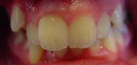
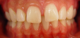
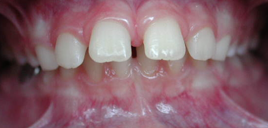
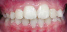
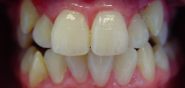
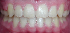
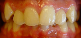
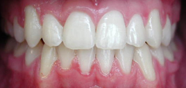
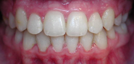
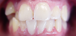
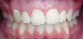
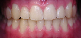
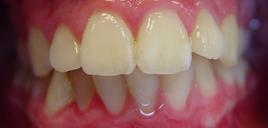
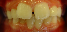
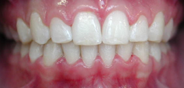
These photos are all cases that Dr. Vadecha has treated from start to finish: just a few of the more than six thousand smiles that he has helped create in Southern California.

Before After

 

 

Before After

 

 

Before After

 

 

Before After

 

 

Before After

 

 

Before After

 

 

Before After

 

 

Before After

 

 

Before After

 

 

Before After

 

 

Before After

 

 

Before After

Back to top